medicina interna veterinaria

 L 
 a medicina veterinaria interna è un campo molto articolato in cui sono racchiuse tante branche della medicina veterinaria. Le nostre statistiche rilevano che le visite cliniche collegate alle problematiche di ordine medico sono più dell’80% rispetto alle visite effettuate presso la nostra clinica. Gli interventi vaccinali, la profilassi antiparassitaria interna ed esterna,gli screening di routine e tutto ciò che può interessare la medicina di prevenzione sono attività così dette di “prima linea” del medico internista. La prima accoglienza, il colloquio con il cliente, l’anamnesi remota, l’anamnesi prossima, l'esame obiettivo generale e obiettivo particolare, gli esami strumentali e gli esami di laboratorio sono anch'esse attività cliniche del medico internista. La medicina interna tratta quindi di argomenti di medicina preventiva, di disturbi metabolici, di patologie gastrointestinali, di malattie urogenitali, respiratorie, dermatologiche, di malattie infettive e disturbi endocrini.
La medicina veterinaria interna copre una vasta gamma di disordini di salute, come diagnosticare e trattare i disturbi che interessano tutti i sistemi dell'organismo. I medici veterinari valutano i casi più complessi, quelli più difficili da diagnosticare e gestire terapeuticamente, dove l'esperienza combinata con l'abilità, ci permettono di offrire agli animali il massimo aiuto. A causa della complessità dei casi osservati in medicina interna, si trascorre gran parte del tempo ad educare i proprietari degli animali riguardo le opzioni diagnostiche e terapeutiche. Questo ha diversi vantaggi: ci permette, insieme ai proprietari degli animali, di selezionare i trattamenti migliori e permette agli animali di godere di una migliore qualità di vita. Si tiene sempre presente l'importanza di mantenere le funzioni interne del organismo in perfetto ordine.
Se siete preoccupati che il vostro animale possa essere affetto da una condizione che potrebbe compromettere la sua salute, si prega di telefonare. Saremo lieti di rispondere a tutte le Vostre domande e fissare un appuntamento. 
 
  
cardiologia veterinaria a vicenza
Medicina cardiovascolare è pratica specialistica della medicina interna che coinvolge il cuore, i vasi sanguigni e spesso il sistema respiratorio.
Malattie cardiache sono comuni negli animali da compagnia, e spesso possono essere trattate con successo o addirittura guarite.
Cardiologi veterinari usano la loro preparazione specialistica, una serie di test diagnostici e apparecchiature di immagine per arrivare alla diagnosi.
Indagine del apparato cardiocircolatorio inizia con un esame fisico con particolare attenzione sui fattori che indicano la funzione cardiaca, come il colore delle mucose orali, tempo di riempimento capillare, frequenza cardiaca a riposo, ritmo cardiaco, auscultazione cardiaca e polmonare, la frequenza respiratoria a riposo.
Cani e gatti possono avere disturbi cardiaci che implicano la:
-  patologie delle valvole cardiache
-  malattia del muscolo cardiaco (cardiomiopatia)
-  insufficienza cardiaca congestizia
-  tosse e altri problemi respiratori
-  diffetti congeniti
-  aritmie cardiache (problemi con la frequenza cardiaca o ritmo)
-  malattia del sacco pericardico
 La malattia di cuore può essere primaria o secondaria ad altre condizioni come l'ipertensione, malattie della tiroide, disturbi elettrolitici, malattie infettive, malattie respiratorie e cancro. Cronica insufficienza mitralica valvolare, cardiomiopatia (DCM, HCM), ipertensione polmonare, dotto arterioso pervio (PDA), stenosi subaortica (SAS), stenosi polmonare (PS), difetto del setto ventricolare (VSD), insufficienza cardiaca congestizia (CHF), tachicardie, bradicardie e versamento pericardico sono alcune delle condizioni che comunemente riscontriamo nel cane e nel gatto.
Malattia cardiaca (l’insufficienza cardiaca) può avere l’origine congenita (5% dei casi presentati alla visita clinica) restanti 95% dei casi della malattia cardiaca è di origine acquisita. Proprio questa malattia cardiaca acquisita è uno dei problemi più comuni nei cani di mezza età e nei cani anziani.
Nella nostra clinica controllo cardiologico avviene alla prima visita clinica del cucciolo, in età di 55 – 60 gg per escludere eventuali cause congenite della malattia cardiaca. Dopo l’età di 7 anni nei cani e nei gatti è consigliata la visita cardiologica che consiste in esame fisico, controllo dell’attività elettrica del cuore (elettrocardiogramma – ECG), esame radiografico e esame tomografico-ecocardiografico (esame più valido nello studio delle valvole cardiache).
Nuove tecniche diagnostiche, farmaci e gli interventi vengono continuamente introdotti nella medicina cardiovascolare veterinaria. 
 
 L'elettrocardiogramma 24 ore, denominata "Holter" è un piccolo dispositivo medico, portatile che registra l'attività elettrica del cuore in modo continuo. Un monitor Holter consente di valutare il ritmo cardiaco per un lungo periodo di tempo durante le normali attività quotidiane. Monitoraggio Holter sta diventando sempre di più un prezioso strumento non invasivo per i cardiologi veterinari per diagnosticare e monitorare sia le frequenze cardiache lenti e veloci, così come per monitorare diverse cardiomiopatie.
Spesso, canini e gatti mostrano segni clinici di un'aritmia che si verificano solo durante alcune attività, come ad esempio lo sforzo fisico, durante mangiare, o anche durante il riposo. Utilizzando un monitor Holter aumenta la possibilità di registrare aritmie periodiche associate a questi sintomi.
Siamo sempre pronti a tenersi aggiornati sui ultimi metodi e trattamenti in modo a poter continuare a fornire la speranza ed il supporto ai proprietari di animali cardiopatici.
Il Nostro obiettivo e quello di aiutare cani e gatti con malattie cardiache vivere una vita più normale. In collaborazione con Voi ci sforziamo di trovare la giusta opzione di trattamento non solo per il vostro animale, ma anche tenendo conto delle Vostre possibilità di seguire animale malato .
Siamo impegnati a personalizzare un programma individualizzato di cura per tutta la vita del vostro piccolo amico.
Cure dermatologiche veterinarie a vicenza
 L 
 a nostra clinica esegue visite dermatologiche riguardanti direttamente o indirettamente la cute, il mantello e gli annessi cutanei del cane, del gatto e dei piccoli animali da compagnia in generale. Arrivare a una diagnosi in dermatologia vuol dire attraversare diverse tappe: accurata anamnesi remota e recente riguardante comparsa dei primi sintomi o le lesioni e loro localizzazione, eventuali trattamenti medici, presenza di prurito, tipo di alimentazione, presenza o meno dei parasiti cutanei, le allergie a contatto ecc. Viene fatto in seguito all’anamnesi un accurato esame clinico, generale e particolare del tutto l’organismo con particolare riguardo alla cute e ai suoi annessi. A tal proposito possono essere suggeriti al cliente alcuni esami particolari: uno scotch test, un esame tricoscopico, un raschiato cutaneo, il prelievo del sangue, la ricerca di dermatofiti, i test allergologici e patoistologici, prelievi bioptici ecc. Quando si raggiunge una diagnosi dermatologica di certezza, s’instaura una terapia farmacologica, la dieta a secondo del problema per raggiungere alla guarigione clinica.
Ci sono un gran numero di malattie della pelle che influenzano la salute degli animali domestici. Questi disturbi possono essere il risultato di una malattia infettiva o non infettiva, infestazione parassitaria o reazione allergica. Poiché molte di queste malattie della pelle portano stretta somiglianza sintomatica l'uno all'altro, diagnosi e trattamento adeguato spesso richiede la consultazione di un veterinario con particolare interesse in questo settore. 
 
 Diagnosticare la causa di problemi di pelle può essere come lavoro investigativo - escludere una possibilità alla volta. E 'importante utilizzare un approccio metodico per essere certi della causa principale, e cerchiamo soluzioni semplici prima di iniziare con i trattamenti spesso costosi. Vogliamo che la risoluzione e la gestione di un problema della pelle cronico di essere gratificante per l'animale domestico, il proprietario e veterinario.
Si cerca di ottiene sempre una lunga storia dai proprietari, oltre ad un esame fisico e un esame dermatologico del vostro animale.
Le malattie della pelle può essere frustrante per i proprietari di animali, perché alcune possono essere soltanto gestite e non risolte. In questi casi, abbiamo bisogno di vedere spesso soggetto amalato nel follow-up per eventuale continuazione del trattamento.
Alcune delle condizioni patologiche della cute piu comuni che vengono diagnosticate e trattate:
-  dermatite allergica
-  atopia,dermatite atopica (allergie ambientale)
-  otite (malattie dell'orecchio)
-  malattie batteriche (infezione da stafilococco)
-  malattie della cute parassitarie
-  dermatite micotica
-  neoplasie cutanee
-  dermatite seboroica
-  alopecia (perdita di peli)
-  dermatite alimentare
-  malattie endocrine e metaboliche della pelle
-  malattie della cute autoimmuni
-  reazioni averse ai medicinali
oftalmologia con chirurgia oftalmica a vicenza
L' oftalmologia veterinaria è una branca della medicina veterinaria che si concentra dalla cura degli occhi e la prevenzione delle malattie oculari. Al esame annuale fisico del soggetto viene valutata la salute degli occhi facendo controllo del occhio e dei anesi.
 Se vengono rilevati problemi più gravi, come l'aumento della pressione oculare (glaucoma), cataratta, perdita della vista o problemi di secchezza oculare, sarà programmata una visita dal medico specialista, oftalmologo.
Durante la pianificazione del trattamento, tutte le opzioni e le raccomandazioni saranno prese in considerazione a fondo in modo che possiamo intraprendere un trattamento efficace e comodo per voi e il vostro piccolo amico. Mentre un medico veterinario della medicina generale può diagnosticare e curare di rutine molte malattie degli occhi, alcune malattie e lesioni degli occhi richiedono l'assistenza di un medico con formazione di specialità in oftalmologia veterinaria. 
 
  Le opzioni di trattamento e le raccomandazioni sono fatti per contribuire a restituire la salute del vostro animale e migliorare la loro qualità di vista.
Il nostro oftalmologo è specializzato a fornire al paziente massima qualità della cura usando le moderne attrezzature e di gestire la più ampia gamma di condizioni patologiche. 
 
 Alcune condizioni oftalmiche di interesse specialistico:
-  congiuntiviti
-  cataratta
-  ulcere corneali
-  glaucoma (aumento della pressione all'interno dell'occhio)
-  trauma oculare
-  distacco della retina
-  cecità improvvisa
-  uveite (infiammazione all'interno dell'occhio)
-  entropion ed extropion
Neurologia veterinaria a vicenza
N eurologia veterinaria è una branca di medicina veterinaria specializzata nell'ambito dell' anomalie e i disturbi che colpiscono il sistema nervoso.
Sistema nervoso comprende il cervello, il midollo spinale, i nervi spinali e le giunzioni tra nervi e i muscoli.
Diversi sono i stati patologici del sistema nervoso :
-  malattia vestibolare
-  discopatia intervertebrale
-  encefalite, meningite
-  malattia neuromuscolare
-  disturbi dell'equilibrio (orecchio interno)
-  malattia del cervello ( traumi e tumori cerebrali)
-  malattie neurologiche congenite
-  mielopatia degenerativa
-  accumulo del fluido nel cervello (idrocefalo)
-  malattia del nervo periferico (neuropatie, come la miastenia grave)
In ogni caso si tratta di patologie molto serie,ma se diagnosticate precocemente,dano buone prospetive per la
guarigione deffinitiva.Il trattamento puo essere medico o chirurgico.
I metodi diagnostici utilizzati dai neurologi veterinari comprendono
esame fisico e racolta dell'anamnesi,
valutazione radiografica (in bianco nero e con mezzo di contrasto-MIELOGRAFIA)
analisi del liquido cerebrospinale,
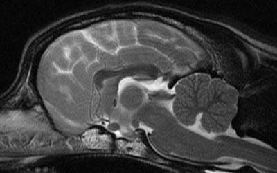
risonanza magnetica e TC,
test elettrodiagnostico che comprende la valutazione della velocità della conduzione nervosa.
 esame di potenziali evocati uditivi-BAER.
Epilessia e malattie neuromuscolari possono avere un impatto significativo sulla salute del vostro animale e devono essere affrontati immediatamente in quanto possono presto diventare ancora più dannosi senza un trattamento. I progressi nella tecnologia hanno aiutato neurologi nella localizzazione delle lesioni neurologiche con conseguente allungamento della vita degli animali. 
 
  Un esame diagnostico completo sarà fatto per stabilire come trattare correttamente un paziente con una malattia neurologica. La prima cosa che facciamo è di stabilire se i sintomi si riferiscono ad un problema all'interno del sistema nervoso. Se i disturbi sono neurologici, andiamo a localizzarli e valutare l'entità del problema. Una volta che questo è stato determinato discuteremo le diverse opzioni di trattamento.
Nella nostra clinica si effettuano visite neurologiche 
 grazie alla presenza del medico specializzato e all‘appoggio ai centri diagnostici di fama nazionale. 
 
  
Odontostomatologia veterinaria a vicenza
La malattia dentale ha dimostrato di essere un fattore importante che contribuisce a molti gravi problemi di salute, tra cui problemi di fegato, reni e le malattie cardiache. Gli studi dimostrano che gli animali domestici con "bocche sane" hanno meno problemi di salute e la vita di qualità più lunga di quelli animali domestici con malattia dentale severa.
 Le cure odontoiatriche di routine(visite periodiche,ablazione del tartaro) è una parte essenziale di prevenzione sanitaria.
La causa della malattia dentale è la stessa nei cani e nei gatti come nelle persone. La malattia dentale è una delle aree più trascurate di salute . 
 
 La malattia parodontale è un'infiammazione dei tessuti moli circostanti dei denti e in fase avanzata forma la placca prodotta da batteri, tartaro calcificato. Nelle fasi finali della malattia parodontale, i tessuti circostanti del dente sono danneggiati, l'osso erode e il dente si allenta che è estremamente doloroso e scomodo per animale.Cattive condizioni di salute dentale può portare alla diminuzione dell'appetito, mancanza di energia, cattivo odore dalla bocca.
 La pulizia dei denti,rimozione dei denti amalati sarà necessaria per gestire una situazione cosi grave.
Usiamo le più moderne attrezzature, strumenti e formazione per fornire lo stesso livello di cura dentale per i vostri animali domestici che ci si aspetta dal proprio dentista. 
 
 Le statistiche ci dicono che oltre 70 % dei gatti e oltre 80 % dei cani sono affetti delle patologie dentarie e gengivali già dell’età di tre anni. Medico specializzato in odontostomatologia veterinaria che dispone di attrezzatura dedicata si occupa di tutti problemi che provoca la malattia dentale:ablazione del tartaro,estrazione dei denti malati,fratturati ,denti da latte o estrazione di tutti i denti nel caso di stomatite ulcerativa nel gatto,cure endodontali.
Intervento di detartrasi si esegue in anestesia generale gassosa,soggetto è intubato e va fata continua asspirazione dei liquidi dalla bocca durante abbondante lavaggio così evitando le complicanze legate all’intervento.
 Non esitate a chiamarci per parlare con un professionista qualificato sulle opzioni di assistenza sanitaria dentale per il vostropiccolo amico pelloso. 
 
GASTROENTEROLOGIA VETERINARIA
Le malattie del tratto gastroenterico sono delle cause più frequenti per cui cani e gatti di diversa età vengono visitati dai medici veterinari.
Durante la visita la raccolta accurata della storia clinica, l’insorgenza dei sintomi, l’età e la razza del paziente sono fondamentali per poter formulare un approccio logico e sistematico al problema, poter individuare il corretto iter diagnostico e poter formulare le diagnosi differenziali che porteranno alla soluzione del problema.
I disturbi di origine infiammatoria acuta o cronica di esofago, stomaco e intestino sono sempre più diffusi.
Cause anche l’alimentazione, le allergie alimentari, l’ingestione di prodotti chimici o corpi estranei, parassiti interni, infezioni batteriche o virali, possibili neoplasie. Alcuni dei sintomi clinici di gastrite nel cane e nel gatto sono vomito e dolore addominale,consequente disidratazione, inappetenza e perdita di peso, diarrea e sangue nelle feci.
La visita gastroenterologica comprende,
Visita e indagini diagnostiche in base all’anamnesi e ai sintomi del paziente Analisi di laboratorio(esami delle feci per la ricerca di parassitosi
intestinali)
Esami del sangue per valutare funzionalità pancreatica ed epatica Radiografia addominale /radiografia toracica Ecografia addominale Endoscopia - gastroduodenoscopia
A proposito della visita,si consiglia di mantenere a digiuno il paziente per le 8 ore precedenti la visita e di recare con sé copia degli esami, se fosse precedentemente eseguiti, ed un campione di feci.



endocrinologia veterinaria a vicenza
Il sistema endocrino consiste di un gruppo di tessuti che rilasciano ormoni nel sangue per raggiungere altre parti del corpo. La maggior
parte dei tessuti endocrini sono ghiandole (come la tiroide) che rilasciano ormoni direttamente nei vasi sanguigni.
Gli ormoni hanno seguenti caratteristiche:
-  azione a distanza: ormoni agiscono sulle cellule situate lontano dal punto in cui l'ormone si sintetizza,
-  specificità di azione: ciascun ormone agisce solo su alcune cellule bersaglio;
-  alta attività biologica: ormoni agiscono in concentrazioni minime e solo in cellule viventi.
l sistema endocrino è un sistema complesso di molti ormoni e meccanismi di controllo. Così, questo sistema complesso può subire le
diverse patologie.
I disturbi endocrini sono spesso difficili da diagnosticare e trattare.
Se il vostro cane o gatto sta ansimando eccessivamente, ha problemi di pelle (come la perdita di pelli o pelo opaco), mostra i cambiamenti
nel comportamento, della mancanza d'energia, perdita dell'appetito,del peso, il consumo eccessivo di acqua / minzione, o viene diagnosticato
un disturbo endocrino, chiamata noi in modo che il vostro animale può tornare a stare bene.
Alcune malattie endocrine includono:
-  Diabete mellito
-  Ipotiroidismo
-  Ipertiroidismo
-  Malattia di Cushing
-  Morbo di Addison
Se non trattate, queste malattie possono avere effetti devastanti sulla salute del vostro animale, ma la diagnosi precoce e il trattamento può essere molto efficace.
La nostra clinica tratta cani e gatti con svariati disturbi endocrini.
Uniamo la compassione con la scienza d'avanguardia per aiutare gli animali con diversi disturbi ormonali.
OSTETRICIA E RIPRODUZIONE veterinaria a vicenza
La clinica si occupa di ginecologia, ostetricia veterinaria e riproduzione degli animali da compagnia per allevatori e per privati.
Offriamo servizi di diagnosi, cura e tecniche riproduttive fornendo sempre servizi di emergenza e di ricovero dei casi con i disturbi riproduttivi. Noi lavoriamo come una squadra per garantire ai nostri pazienti di ricevere le cure più complete possibili.
Il nostro personale fornisce assistenza 24 ore al giorno.
I servizi offerti sono:
-  gestione del ciclo con tempismo progesterone
-  inseminazione artificiale
-  raccolta e valutazione del seme
-  assistenza ecografia della gravidanza
-  assistenza in gestazione
-  parto assistito e parto cesareo
-  cura dell'infertilità per la cagna e per cane
-  trattamento medico e chirurgico per le condizioni connesse al sistema riproduttivo tra cui la malattia uterina, ostetricia e neonatale.

 
  
  
  
  
  
  
  
  
  
  
  
  
  
  
  
  
  
  
  
  
  
  
  
  
  
  
  
  
  
  
  
  
  
  
  
  
  
  
  
  
  
  
  
  
  
  
  
  
  
  
  
 

